大人の矯正症例
case.1
| 治療前 | 治療後 |
|---|---|
![]() |
![]() |
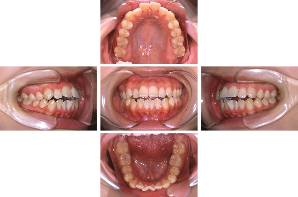
| 治療名 | 表側マルチブラケット装置(上下審美ブラケット + 銀色ワイヤー) |
|---|---|
| 費用 | 705,000円(税込)+ 処置料(5,500円×20回) |
| 抜歯の有無 | 上下顎両側第一小臼歯 |
| 治療期間 | 1年8か月(20か月) |
| 主訴 | 上の前歯が出ていることが気になる |
治療の説明
第一小臼歯を抜歯し、歯並びの叢生(ガタガタ)と上下の前歯を下げる治療を行いました。
治療期間は1年8か月(20か月)で機能的な咬合を獲得し、前歯は十分に下げることができました。
結果として口元の突出感は改善され良好な口元のバランスが得ら、患者様には十分な満足を頂きました。
副作用・リスク
- 歯を動かすということは歯へ負担をかけることになります。歯やその周囲の組織にリスク(歯根吸収、歯肉退縮、歯髄充血)が伴う可能性がございます。
- 装置の装着により、歯や装置周囲に汚れが溜まり、虫歯や歯周病リスクが高まる恐れがあります。
- 歯は一生動き続けます。治療終了後も後戻り(歯が元の位置に戻る現象)や加齢変化による歯の位置のズレが起こる可能性があります。
case.2
| 治療前 | 治療後 |
|---|---|
![]() |
![]() |
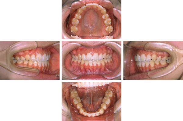
| 治療名 | 表側マルチブラケット装置 〈上下審美ブラケット + 銀色ワイヤー + 側方拡大装置(クワドヘリックス装置等)〉 |
|---|---|
| 費用 | 705,000円(税込)+ 処置料(5,500円×30回) |
| 抜歯の有無 | 上顎両側第一小臼歯 |
| 治療期間 | 2年6か月(30か月) |
| 主訴 | 歯並びのガタガタが気になる。 |
治療の説明
上下の歯の並ぶアーチが狭く、歯並びを整えるための隙間が非常に少ないことから、歯の並ぶアーチ(歯列弓)を拡げてから上顎小臼歯抜歯を行い改善する計画を立てました。
まずは上下顎に側方拡大装置(クワドヘリックス装置等)を使用して歯の並ぶアーチを拡げました。拡げるのにかかった期間は約4か月です。
その後、上顎第一小臼歯を抜歯し、マルチブラケット装置を用いて治療を行いました。骨格と歯の傾きやかみ合わせの状態より上顎のみの抜歯を選択しました。
治療期間は2年6か月(30か月)で機能的な咬合を獲得し、上下の歯並びはきれいに整いました。患者様には十分な満足を頂きました。
副作用・リスク
- 歯を動かすということは歯へ負担をかけることになります。歯やその周囲の組織にリスク(歯根吸収、歯肉退縮、歯髄充血)が伴う可能性がございます。
- 装置の装着により、歯や装置周囲に汚れが溜まり、虫歯や歯周病リスクが高まる恐れがあります。
- 歯は一生動き続けます。治療終了後も後戻り(歯が元の位置に戻る現象)や加齢変化による歯の位置のズレが起こる可能性があります。






